„Gdyby nie Robert, to bym umarła”. Joanna Górska szczerze o swoim partnerze i walce z rakiem
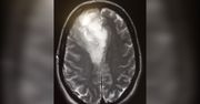
Joanna Górska, prezenterka telewizji Polsat, wygrała walkę z rakiem. Dziennikarka przyznaje, że nie byłoby to możliwe, gdyby nie jej partner. - Gdyby nie Robert, to bym umarła - mówi w rozmowie z Klaudiuszem Michalcem. Choć przeszła długą drogę i miała żal do świata, że to właśnie ją spotkała choroba, teraz otwarcie mówi, czego ją ona nauczyła i jakie ma plany na przyszłość. O nowotworze, potędze miłości, rodzinie i o tym, czy weźmie udział w „Tańcu z gwiazdami” opowiedziała reporterowi WP. Zapraszamy na drugą część wywiadu z Joanną Górską.