programy
kategorie
operacja
Putin zawęża plany. Wiceminister z PiS o pomocy z Polski
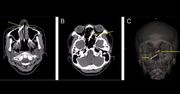
Zaskakujące odkrycie po badaniu tomografem. Miała fragmenty pałeczek do sushi w zatokach
Przeszczep narządów od zmarłych na COVID-19. Lekarz wyjaśnia, czy to możliwe
Przełomowa operacja z zastosowaniem robota da Vinci
Skarżył się na ból nóg i pleców. Był w szoku, gdy lekarze odkryli przyczynę
Jeden grał na fortepianie, drugi operował. Niecodzienna operacja 10-latka
Lekarze z Tarnowskich Gór usunęli pacjentce guza o wadze 17 kg (WIDEO)
Michał Materla o walce z Askhamem. ''Zostawiłem tam tyle co mogłem''
Na skrzypcach podczas operacji mózgu
Nikt nie słyszał jej krzyku. Wstrząsająca historia z Wielkiej Brytanii
Bartek Kacprzak: Ludzie mówią, że u mnie jest jak w Częstochowie
Urodziła się z wadą ortopedyczną. Tego, co zobaczyły w amerykańskim szpitalu, jej mama nie zapomni
Ma nogę krótszą o 6 cm. Na operację zbierała w nietypowy sposób
14 palców u rąk. Lekarze musieli wybierać
Niespodzianki na targach funeralnych
Operacja plastyczna zakończyła się tragicznie
Tatuaże po mastektomii. Nowy trend na Instagramie
Przez 28 lat nieświadomie nosiła soczewkę kontaktową
Kobieta zachorowała na raka języka
Rozenek zachwyca się mężem: "Radek jest twardy i mocny"
Schudła 125 kg. Otyłość pozostawiła po sobie przykrą pamiątkę
Poddała się liposukcji. Teraz walczy o życie
Górniak po operacji kolana: Jeszcze nie mogę biegać. Nie lubię czuć się bezużyteczna
Mała Anielka zmarła. Nie doczekała operacji
Zagrożenia w pobraniu narządów
Na czym polega operacja kardiochirurgiczna?
Olivia walczy z otyłością olbrzymią i ma narośla, które ważą 20 kg
Jarosińska trzy miesiące po operacji tętniaka: "Wracam do żywych!"
Kilka miesięcy temu oskalpowały je maszyny rolnicze. Po przeszczepach skóry kobiety wracają do sprawności
Nowatorska metoda wszczepienia soczewki plamkowej Schiariotha
Indyjscy lekarze wydobyli 40 noży z żołądka pacjenta
Wydrukowany w 3D implant połowy miednicy pomógł pacjentowi choremu na raka
Agnieszka jest w śpiączce. Rodzina walczy o odszkodowanie
Potrzeba ponad 2 mln zł, by Iga mogła chodzić
#dziejesienazywo: Leczenie nietrzymania moczu
#dziejesienazywo: Przebieg zabiegu ginekologii estetycznej
Ludzie w śpiączce dostaną nowe życie? Ta metoda przyleciała prosto z Japonii
Błaszczyk o operacji córki: ponad 60 proc. pacjentów nawiązuje kontakt
Niezwykły ośrodek powstanie w Polsce. Szansa dla chorych dzieci
Bez nóg, z niedorozwojem dłoni. Małego Dawida czeka operacja w USA
Poprzednie
1
2
3
Następne